大小:224 x 190 x 152 mm
重量:4400 g
基材:纤维素-聚合物复合材料
发货:30天内
点评
WEK53-05动脉瘤腹部模体,WEK53-05 CT血管造影模型
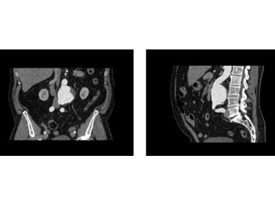
模拟了动脉期的造影剂增强腹部。它覆盖第一腰椎至第四骶椎。它有一个肾下腹主动脉瘤。
该模型可用于 CT(包括 CBCT)以评估和优化成像性能和后处理应用,包括支持 AI 的应用。它也适用于培训目的。
该模型提供了对软组织和骨组织的详细而逼真的模拟。空隙中填充着约-160 复合纤维素-聚合物复合材料。

WEK53-05腹部模体,WEK53-05动脉瘤腹部模体,WEK53-05 CT血管造影模型规格:
| 大小: 约 224 x 190 x 152 mm 重量: 约 4400 g 基材: 纤维素-聚合物复合材料 最佳管电压: 120 kVp – 可根据要求进行调整 |
WEK53-05腹部模体,WEK53-05动脉瘤腹部模体诊断特征
真实模拟脉管系统、骨骼和软组织,包括肝脏、胰腺、脾脏、肾上腺、肾脏、胃、小肠和结肠。
肝硬化,胆囊切除术,下腔静脉滤器,肾囊肿,肾结石,淋巴结。
WEK53-05腹部模体,WEK53-05动脉瘤腹部模体成像效果图:


SAGWEK53-05动脉瘤腹部模体,WEK53-05腹部模体,动脉瘤腹部模体,CT血管造影模型,WEK53-05腹部模型



